This site is supported by our readers. We may earn a commission, at no cost to you, if you purchase through links.
Cigarette burns can leave scars, and the likelihood depends on how deep the burn penetrates your skin. A brief contact might only redden the surface and heal without a trace. But when the lit end presses into skin long enough to damage deeper layers, your body responds by forming scar tissue as it repairs the wound.
First-degree burns usually fade completely, while second-degree burns often result in permanent marks. Third-degree burns destroy all skin layers and almost always leave visible scars that may require medical intervention.
The severity of scarring isn’t just about the initial injury—how you treat the burn in the hours and days that follow plays a significant role in whether you’re left with smooth skin or a lasting reminder.
Table Of Contents
- Key Takeaways
- Can Cigarette Burns Leave Scars?
- How Cigarette Burns Damage The Skin
- What Do Cigarette Burn Scars Look Like?
- Why and How Scars Form After Burns
- Treating Cigarette Burns to Minimize Scarring
- Managing and Reducing Cigarette Burn Scars
- Long-Term Effects and Emotional Impact of Scarring
- Frequently Asked Questions (FAQs)
- Do cigarette burn scars go away?
- What does a cigarette burn mark look like?
- Do burns leave permanent scars?
- How to remove cigarette burn marks?
- Are there different types of burn scars?
- Whats the best way to prevent scarring?
- How long does it take for a burn to heal?
- What are the emotional effects of scarring?
- How can you tell if a burn is infected?
- How long does complete cigarette burn healing take?
- Conclusion
Key Takeaways
- Cigarette burns can leave permanent scars depending on depth—first-degree burns typically heal without marks, while second-degree burns often scar, and third-degree burns always require medical intervention and leave visible scarring.
- Immediate cooling with water for 10-15 minutes, proper wound care with moisture-retaining dressings, and sun protection significantly reduce scar formation and improve healing outcomes.
- Cigarette burn scars appear as circular marks 5-10mm wide with distinct characteristics, including raised hypertrophic tissue, depressed atrophic areas, or keloid formations that extend beyond the original burn site.
- Beyond physical scarring, cigarette burns carry substantial psychological impact, with 68% of patients experiencing body image concerns and 25% developing anxiety or depression, making mental health support essential alongside physical treatment.
Can Cigarette Burns Leave Scars?
Yes, cigarette burns can leave scars, and the likelihood depends on how deep the injury goes. First-degree burns that damage only the epidermis usually heal completely within several days without visible scarring. Second-degree burns penetrate deeper skin layers and cause blistering, taking two to three weeks to heal and often resulting in permanent scar formation. Third-degree cigarette burns that penetrate the full dermis always leave scars and may require surgical intervention. The tip of a lit cigarette reaches approximately 400 degrees Celsius, hot enough to cause serious tissue damage on sustained contact. Burns taking longer than 21 days to heal carry a 56 percent risk of hypertrophic scarring in children. Proper burn prevention and early scar management can greatly reduce long-term marking, but cigarette burn scars often serve as lasting reminders of past trauma or cigarette abuse. Immediate response with a can help minimize skin damage and support proper healing.
Applying a soothing aftershave balm to minor burns can calm inflammation and protect damaged skin while it repairs itself.
How Cigarette Burns Damage The Skin
A cigarette’s burning tip reaches temperatures around 700°F, causing immediate damage when it contacts your skin. The injury isn’t just surface-level—it affects multiple layers depending on how long the cigarette stays against your skin.
Understanding how these burns happen helps you recognize their severity and take appropriate action.
Once you’ve identified the type of burn, knowing how to treat razor burn properly can speed up healing and prevent infection.
Burn Depth and Severity
Your skin’s reaction to a cigarette burn depends entirely on how deep the thermal injury goes. Modern wound assessment classifies skin damage by depth rather than the older “burn degrees” system, but you’ll still hear terms like second degree burns and third degree burns in everyday conversation.
- Superficial burns affect only the top layer and usually won’t leave scars.
- Partial thickness burns extend into deeper skin layers and may scar if healing takes more than two weeks.
- Full thickness burns destroy all skin layers and almost always require burn treatment with grafting.
- Contact time matters—cigarette burns reaching full thickness need more than one second of contact, making scar formation more likely with prolonged exposure. For more details, see how are managed by specialists.
Types of Skin Injury From Cigarettes
Cigarette burns create distinct patterns of thermal injury on the skin. A lit cigarette tip ranges from 400 to 700 degrees Celsius, hot enough to produce characteristic circular or oval lesions measuring 7 to 10 millimeters across. Depending on contact duration and location, three main types of skin damage can be observed.
After treating any burn injury, restoring the skin’s natural barrier becomes essential through daily skin hydration for healthy skin routines that support healing.
| Burn Type | Appearance | Healing Time |
|---|---|---|
| Superficial | Red, slightly swollen | 3-7 days |
| Partial thickness | Blisters, glossy surface | 2-3 weeks |
| Full thickness | White or charred center | Weeks to months |
| Accidental contact | Irregular, eccentric shape | Variable |
Intentional burns usually show well-defined borders with central necrosis, while accidental contact produces more irregular wound patterns on forearms or thighs.
Factors Influencing Burn Outcomes
Several factors shape how your cigarette burn heals and whether scar tissue formation occurs. Burn depth factors like skin thickness at the injury site, your age, and overall health directly affect the wound healing process and skin regeneration.
Genetic predisposition plays a role too—some people are simply more prone to keloids or raised scars after burn injury, regardless of wound healing and management efforts.
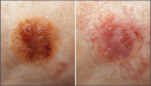
What Do Cigarette Burn Scars Look Like?
Cigarette burn scars have distinct physical characteristics that make them recognizable. These scars usually appear different from other types of skin injuries in shape, color, and texture.
Understanding what these scars look like can help you identify them and seek appropriate treatment.
Shape and Size of Scars
Most cigarette burn scars are circular or oval, measuring about 5–10 mm in diameter—roughly matching the cigarette tip. When multiple burns are placed close together, they can merge into irregular patterns that look larger than a single contact.
Deep, prolonged contact creates puckered, well-defined scars with sharp borders, while brief exposure may leave only faint marks.
Scar morphology helps distinguish intentional from accidental burns.
Proper wound care and targeted scar treatments can significantly reduce the visibility of burn scars over time.
Color and Texture Changes
Fresh burns start bright red, then shift through a palette you’ll watch closely. Early inflammation brings vivid erythema, while deeper injury turns skin pale or waxy white. As healing unfolds, dyspigmentation patterns emerge—hyperpigmentation in darker skin types, hypopigmented patches where melanocytes died, sometimes stark white like vitiligo.
Scar maturation takes six months to two years. Keloid scars occasionally develop, growing beyond original burn borders. Most color variations fade gradually, though some hyperpigmented or hypopigmented areas resist spontaneous resolution for years without targeted skin care and damage intervention.
Texture abnormalities define cigarette burn scars:
- Raised, firm hypertrophic ridges from excess collagen deposition
- Depressed, puckered craters where tissue contracted during scar formation and management
- Dry, rough surfaces after sweat and oil glands are destroyed
- Shiny, taut areas with reduced pliability over joints
- Nodular or uneven contours that disrupt normal skin architecture
Distinguishing Burn Scars From Other Marks
Round or oval macules measuring 0.5 to 1 cm distinguish cigarette burn scars from linear cutting marks or diffuse bruises. Burn patterns show sharply demarcated borders with central depression, unlike ice-pick acne scars or flat postinflammatory hyperpigmentation.
For accurate scar identification and injury assessment, examine texture alongside color—burn scars combine dyspigmentation with structural changes, while bruises fade within two weeks and skin lesions from blunt trauma lack circular geometry.
Why and How Scars Form After Burns
Your body reacts to cigarette burns by trying to repair the damaged tissue. How well this repair process works depends on several factors, including burn depth and your individual healing response.
Three main elements determine whether you’ll develop permanent scars: how your body heals the wound, what puts you at higher risk for scarring, and which type of scar tissue ultimately forms.
The Body’s Healing Process
Your body reacts to skin damage and healing through an orderly sequence of wound repair phases. When a cigarette burn penetrates your dermis, tissue regeneration begins with burn inflammation and progresses through distinct healing phases. Understanding this wound healing process helps you recognize how scar tissue forms:
- Blood clotting stops bleeding within minutes and creates a protective scaffold
- White blood cells arrive to remove damaged tissue and fight infection
- New blood vessels and collagen fill the wound during tissue regeneration
- Scar tissue remodels over months, gradually gaining strength but never matching uninjured skin
Risk Factors for Scar Formation
Several conditions increase your risk of developing permanent burn scars after a cigarette injury. Genetic predisposition plays a significant role—if relatives form thick scars, you’re more likely to develop them.
Wound infection and prolonged inflammatory response delay healing and worsen scarring. Skin tension over joints raises scar risk.
Smoking habits impair wound healing by reducing oxygen delivery and collagen production, making scar management more challenging for smokers.
Scar Types (Hypertrophic, Atrophic, Keloid)
Cigarette burns can heal in three distinct ways, each producing different scar tissue patterns. Hypertrophic scars rise above your skin within the original burn border, feeling firm and sometimes itchy. Keloid formation extends beyond the wound edge and won’t flatten without treatment. Atrophic healing creates depressed areas where collagen loss occurred.
Your burn scars may show:
- Raised, reddish tissue confined to the cigarette mark (hypertrophic)
- Thick growths spreading past the original injury site (keloids)
- Sunken, thinned skin where tissue was lost
- Tight, restricted movement if located over joints
- Persistent symptoms like itching or heat sensitivity
Deep burns taking over three weeks to close have higher hypertrophic and keloid risk. If you have darker skin or family history of thick scarring, you’re more susceptible to keloid scars. Early burn rehabilitation and proper scar treatment markedly improve outcomes.
Treating Cigarette Burns to Minimize Scarring
How you treat a cigarette burn in the first hours and days directly affects whether it will scar. Quick action can limit skin damage and support proper healing.
The following steps outline what to do immediately after a burn, how to care for the wound at home, and when professional medical treatment becomes necessary.
Immediate First Aid Steps
Acting quickly after a cigarette burn can make the difference between a faint mark and a lasting scar. Start with burn assessment. Remove any clothing near the injury. Apply a cold compress or soak the wound in clean, cool water for 10 to 15 minutes. This reduces tissue damage and swelling.
Don’t apply ice directly to cigarette burns. Avoid ointments or butter. Seek emergency medical care if the burn shows whiteness or crosses a joint.
| Step | Action | Purpose |
|---|---|---|
| 1. Burn Assessment | Check depth and size of injury | Determines treatment needs |
| 2. Wound Cleaning | Rinse gently with cool water | Removes debris, prevents infection control issues |
| 3. Cold Compress | Apply for 10-15 minutes | Reduces pain and tissue damage |
| 4. Pain Management | Use OTC pain relievers if needed | Controls discomfort during first-degree burns |
| 5. Infection Control | Cover with sterile gauze | Protects wound from bacteria |
At-Home Wound Care
Once you’ve cooled and cleaned the injury, proper wound care becomes your daily routine. Follow these steps to support wound healing and scar prevention:
- Apply petroleum jelly to keep the burn moist and prevent burn dressing from sticking to healing tissue.
- Change bandages daily using sterile, nonadhesive pads wrapped loosely with gauze for effective wound care.
- Take ibuprofen or acetaminophen every 6 to 8 hours for pain management during the first few days.
- Avoid home remedies like butter or oils that trap heat and worsen skin care outcomes.
Don’t break blisters. They provide natural protection during burn treatment.
When to Seek Medical Help
While at-home wound care works for minor burns, some injuries need medical attention right away. Contact a doctor if your burn covers more than 3 inches, crosses a joint, or appears on your face, hands, feet, or groin. Emergency care becomes critical for any third-degree burn showing white, brown, or charred tissue.
Watch for wound infection signs like increasing pain, pus, red streaks, or fever above 100.4°F—these warrant immediate medical intervention for proper burn injury assessment and scar prevention.
Managing and Reducing Cigarette Burn Scars
Once a cigarette burn heals, you’re left with a scar that won’t disappear on its own. The good news is that several treatments can reduce its appearance over time.
Here’s what works to minimize these marks and help your skin look smoother.
Over-the-Counter Scar Treatments
Several topical treatments may improve cigarette burn scars over time. Consider these options:
- Silicone gel sheets or silicone therapy reduce scar visibility through hydration and occlusion when used consistently for weeks to months
- Scar creams containing onion extract show modest improvement in some individuals
- Vitamin E oil has mixed results and may cause dermatitis in sensitive skin
- Burn gels with moisturizers support skin barrier function as part of complete care
Professional Scar Removal Options
When over-the-counter products fall short, medical interventions offer stronger tools to reshape and fade stubborn cigarette burn scars. Dermatologists and plastic surgeons assess scar depth, color, and texture to recommend the most effective approach for your individual case.
| Treatment | How It Works | Best For |
|---|---|---|
| Laser Therapy | Targets pigment and stimulates collagen remodeling | Discolored or raised cigarette burn scars |
| Chemical Peels | Removes damaged outer skin layers | Shallow atrophic scars with texture irregularities |
| Dermabrasion | Mechanically resurfaces skin to smooth contours | Depressed or uneven burn scars |
| Microdermabrasion | Gentler exfoliation for superficial improvements | Mild scar texture and tone concerns |
| Scar Excision | Surgical removal of scar tissue | Deep, disfiguring, or keloid cigarette burn scars |
Surgical removal may involve closure techniques that minimize new scar formation. Multiple sessions often yield gradual, cumulative results.
Sun Protection and Moisturization
Ultraviolet protection shields healing burn scars from pigment changes that make them stand out. Apply broad-spectrum SPF 30 or higher sunscreen 15 to 30 minutes before sun exposure, then reapply every two hours.
Pair sunscreen with a quality moisturizer to maintain scar hydration and support skin barrier repair.
This combined burn aftercare routine reduces thickening, discoloration, and long-term ultraviolet damage to your wound site.
Long-Term Effects and Emotional Impact of Scarring
Cigarette burn scars don’t just affect your skin. They can shape how you see yourself and how you move through the world.
Understanding these effects helps you find the right support and take steps to prevent future harm.
Psychological Effects of Visible Scars
Cigarette burn scars can trigger significant mental health challenges. Body image concerns affect 68 percent of patients, while anxiety disorders and depression develop in about one quarter of individuals with visible facial scars.
Cigarette burn scars carry profound psychological weight, affecting body image in 68% of patients and triggering anxiety or depression in a quarter of those with visible facial scarring
Social stigma and self-consciousness often intensify emotional trauma, particularly when scars result from self-harm. These psychological effects can persist for years, highlighting the importance of addressing both physical and emotional aspects of cigarette burn scars during psychological recovery.
Support and Coping Strategies
Rebuilding after emotional trauma requires a network of care and concrete action. Cognitive behavioral therapy tackles distress related to visible scars, while peer support groups connect you with others who truly understand. Family therapy strengthens your support system and resilience building. Active coping strategies predict better long-term adjustment, making mental health awareness essential for both physical and psychological healing after self-harm or accidental burns.
- Professional help: Trauma-focused therapies reduce anxiety and intrusive thoughts
- Peer connections: Support groups provide validation and shared coping strategies
- Family involvement: Acceptance from loved ones improves body image and emotional recovery
Preventing Future Burns and Scars
You can slash burn risk by 40% through targeted burn risk education. Create smoke-free environments at home and work to prevent accidental burns and recurrence.
Master immediate burn cooling within 20 minutes to minimize tissue damage.
Apply sun protection methods daily on healing wounds, and follow proper wound care strategies with moisture-retaining dressings. These cigarette burn injuries scar prevention and treatment steps work.
Frequently Asked Questions (FAQs)
Do cigarette burn scars go away?
Most cigarette burn scars are permanent, though they usually fade over six months to two years. Superficial burns may heal completely, but deeper injuries leave lasting pigment or texture changes despite treatment.
What does a cigarette burn mark look like?
Picture a small, punched-out circle on skin—that’s what you’ll see. Most cigarette burn marks appear round, about 7-10 millimeters wide, with pale centers and darker borders revealing deeper skin trauma.
Do burns leave permanent scars?
Yes, burns can leave permanent scars, especially when they penetrate deep into the dermis. Superficial burns often heal without lasting marks, but deeper injuries trigger scar tissue formation during the wound healing process, causing permanent damage.
How to remove cigarette burn marks?
Fading formidable marks requires patience and proper treatment. Scar creams containing silicone help flatten tissue. Laser therapy targets discoloration effectively. Severe cases may need skin grafting.
Natural remedies and diligent skin care support wound healing over time.
Are there different types of burn scars?
Burn injuries produce several distinct scar types based on healing patterns. Hypertrophic scars stay raised within wound borders, keloids extend beyond original injury sites, contractures restrict movement, while normotrophic scars remain flat and atrophic scars appear depressed.
Whats the best way to prevent scarring?
Cool running water for 10 to 20 minutes immediately after injury limits tissue damage.
After healing begins, silicone gel therapy, pressure garments, consistent sun protection, and proper wound care greatly reduce cigarette burn scar formation.
How long does it take for a burn to heal?
The clock starts ticking the moment skin meets flame. Superficial burn injuries usually achieve wound closure within 7 to 14 days through reepithelialization, while deeper burns require 3 to 8 weeks before scar maturation begins.
What are the emotional effects of scarring?
Visible scars often trigger anxiety disorders, depression, and self-esteem issues. Social stigma compounds emotional trauma, particularly with self-harm scars.
Mental health support and psychological recovery resources help address emotional pain and promote healing beyond physical treatment.
How can you tell if a burn is infected?
Infection signs include increasing redness, swelling, warmth, pus, foul odor, worsening pain, red streaks, or fever above 4°F. Proper wound care and assessment help prevent complications during the healing process.
How long does complete cigarette burn healing take?
Healing timeframes depend on burn severity. Superficial cigarette burns usually achieve wound closure within 7 to 14 days. Deeper partial-thickness injuries require 2 to 3 weeks.
Complete scar maturation and recovery process can extend up to 2 years.
Conclusion
A moment of careless contact can mark your skin for years, but swift action often changes that outcome. Whether cigarette burns leave scars depends on depth, care, and how your body heals.
First-degree burns usually fade without intervention. Deeper injuries need proper treatment—immediate cooling, sterile dressing, infection prevention.
Professional scar therapy works when home care isn’t enough. Protecting healing tissue from sun exposure matters as much as the initial response.
Prevention remains your strongest defense against permanent marks.












